Arama

Select theme:

Kenya'da bir hastanın göğüs röntgeninde hamam böceği mi görüldü?

Dilge Temiz, teyit.org

Sosyal medyada paylaşılan bir fotoğrafla Kenya’da bir hastanın göğüs röntgeninde hamam böceği görüldüğü öne sürüldü. İddiaya göre hasta, tedavi için Singapur'a kadar gelmiş ve Kenya’daki hastanenin yanıldığını, hamam böceğinin akciğerlerinde değil, röntgen cihazında olduğunu öğrenmiş.

 

Fotoğrafta dijital müdahale var

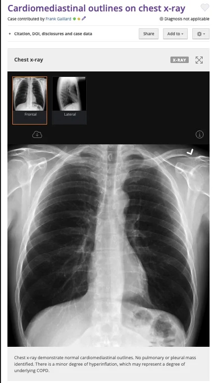
İddiaya eklenen fotoğraf tersine görsel arama yöntemiyle arandığında, “hamam böceğinin” fotoğrafa sonradan eklendiği anlaşılıyor. Fotoğrafın aslı standart bir göğüs röntgeni.

İki görsel karşılaştırıldığında, böceğin sonradan eklendiği de görülüyor.

Orijinal görüntü 22 Ocak 2010’da bir radyoloji görüntüleri deposu olan “Radiopedia” üzerinden yayınlanmış.

Anahtar kelimeler ile açık kaynaklardan yapılan aramalara göre de böyle bir olay kaydedilmemiş. Ayrıca, böcek görüntüsünün aktarıldığı gibi büyük olması bilime ve hayatın olağan akışına da aykırı.

AFP Fact Check ve Africa Check gibi doğrulama kuruluşları da uzun süredir dolaşımda olan iddiayı incelemiş ve doğru olmadığını aktarmış. 

Sonuç olarak görsel gerçeği yansıtmıyor, dijital müdahale ile oluşturuldu.

Bulgular

  • Görsel gerçeği yansıtmıyor, dijital müdahale ile oluşturuldu.
  • Fotoğraf, bir medikal arşiv sitesindeki göğüs röntgeni fotoğrafı manipüle edilerek oluşturuldu.
  • Uluslararası doğrulama kuruluşları da uzun süredir dolaşımda olan iddiayı incelemiş.

 

Benzer Makaleler: